PlayOn11 - Where Fans Become Winners
AI Could Detect Early Signs of Alzheimer’s in Under a Minute – Far Before Traditional Tests

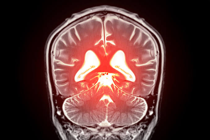
Scientists are turning to AI and speech analysis to uncover early signs of Alzheimer's in ways tradi...

HEALTH NEWS April 15, 2026

AI Could Detect Early Signs of Alzheimer’s in Under a Minute – Far Before Traditional Tests

Scientists are turning to AI and speech analysis to uncover early signs of Alzheimer's in ways traditional methods may miss. More than 7 million Americans...

5 views 0 likes 0 comments
Scientists are turning to AI and speech analysis to uncover early signs of Alzheimer's in ways traditional methods may miss. More than 7 million Americans...

Author: SciTechDaily

Read Original Article

Related News

Top Categories