PlayOn11 - Where Fans Become Winners
Alarming image exposes the effect ultra-processed foods have on bodies

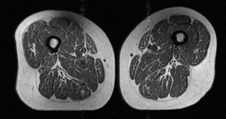
X-ray photographs of a woman's thigh published in a newly released study show how ultra-processed fo...

HEALTH NEWS April 17, 2026

Alarming image exposes the effect ultra-processed foods have on bodies

X-ray photographs of a woman's thigh published in a newly released study show how ultra-processed foods negatively impact the body.

3 views 0 likes 0 comments
X-ray photographs of a woman's thigh published in a newly released study show how ultra-processed foods negatively impact the body.

Author: Daily Express US

Read Original Article

Related News

Top Categories