PlayOn11 - Where Fans Become Winners
Mayo Clinic announces breakthrough in early cancer detection

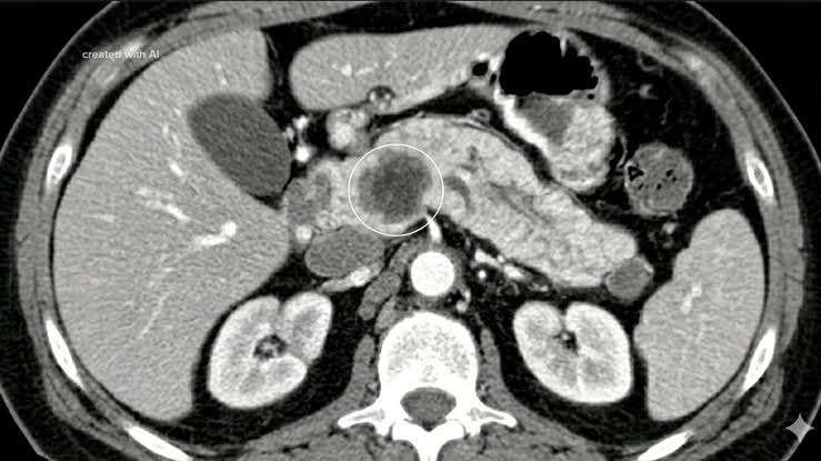
ROCHESTER, Minn. — Minnesota's world-renowned Mayo Clinic continues to live up to its reputation for...

HEALTH NEWS April 29, 2026

Mayo Clinic announces breakthrough in early cancer detection

ROCHESTER, Minn. — Minnesota's world-renowned Mayo Clinic continues to live up to its reputation for achieving medical miracles, announcing Wednesday it has...

1 views 0 likes 0 comments
ROCHESTER, Minn. — Minnesota's world-renowned Mayo Clinic continues to live up to its reputation for achieving medical miracles, announcing Wednesday it has...

Author: kare11.com

Read Original Article

Related News

Advertisement
Ads with us
Advertisement

Top Categories

Advertisement
Ads with us
Advertisement
Ads with us
Advertisement
Ads with us
Advertisement
Ads with us