PlayOn11 - Where Fans Become Winners
Cell-type-targeted mitochondrial transplantation rescues cell degeneration

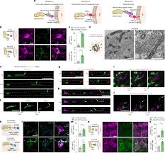
A number of currently untreatable diseases, including neurodegenerative disorders, optic nerve atrop...

HEALTH NEWS April 15, 2026

Cell-type-targeted mitochondrial transplantation rescues cell degeneration

A number of currently untreatable diseases, including neurodegenerative disorders, optic nerve atrophy and heart failure, are associated with mitochondrial...

1 views 0 likes 0 comments
A number of currently untreatable diseases, including neurodegenerative disorders, optic nerve atrophy and heart failure, are associated with mitochondrial...

Related News

Top Categories