PlayOn11 - Where Fans Become Winners
5 years after lupus breakthrough, CAR-T is still surprising autoimmunity researchers

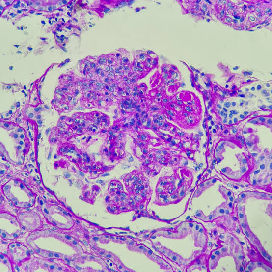
CAR-T therapy is toting up more remissions in autoimmune disease, and generating a flood of experime...

HEALTH NEWS April 09, 2026

5 years after lupus breakthrough, CAR-T is still surprising autoimmunity researchers

CAR-T therapy is toting up more remissions in autoimmune disease, and generating a flood of experimentation and investment.

1 views 0 likes 0 comments
CAR-T therapy is toting up more remissions in autoimmune disease, and generating a flood of experimentation and investment.

Author: statnews.com

Read Original Article

Related News

Top Categories