PlayOn11 - Where Fans Become Winners
Scientists cured type 1 diabetes in mice by creating a blended immune system

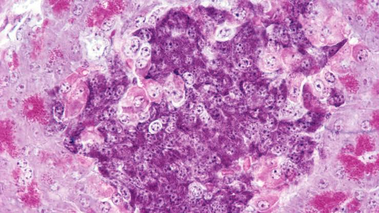
By creating a hybrid immune system between the host and the donor, researchers were able to transpla...

HEALTH NEWS April 02, 2026

Scientists cured type 1 diabetes in mice by creating a blended immune system

By creating a hybrid immune system between the host and the donor, researchers were able to transplant insulin-producing cells that were not rejected.

9 views 0 likes 0 comments
By creating a hybrid immune system between the host and the donor, researchers were able to transplant insulin-producing cells that were not rejected.

Author: Live Science

Read Original Article

Related News

Top Categories