PlayOn11 - Where Fans Become Winners
Scientists warn of increased risk of developing MS from long-term air pollution exposure

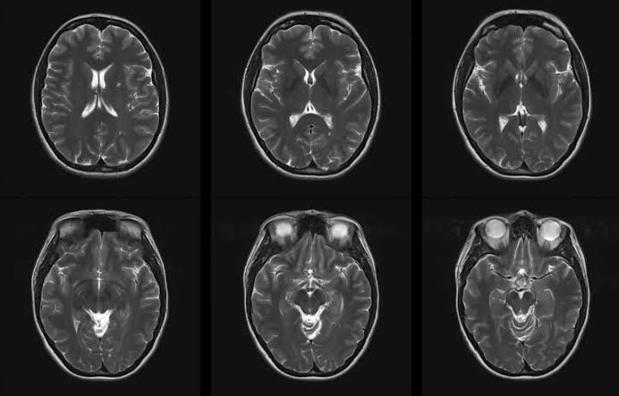
Air pollution's reputation as a "silent killer" is well-earned. New research indicates that dirty ai...

HEALTH NEWS April 02, 2026

Scientists warn of increased risk of developing MS from long-term air pollution exposure

Air pollution's reputation as a "silent killer" is well-earned. New research indicates that dirty air is also linked to raising the risk of developing...

12 views 0 likes 0 comments
Air pollution's reputation as a "silent killer" is well-earned. New research indicates that dirty air is also linked to raising the risk of developing...

Related News

Top Categories